ظهور علامات شيخوخة على المراهقين.. والسبب كورونا
وكالة الناس ــ تتعدى تأثيرات وباء كورونا الآثار الاقتصادية والصحية، فقد كشف بحث جديد أن أدمغة المراهقين الذين عايشوا عمليات الإغلاق المرتبطة بالفيروس ظهر عليهم علامات الشيخوخة المبكرة.
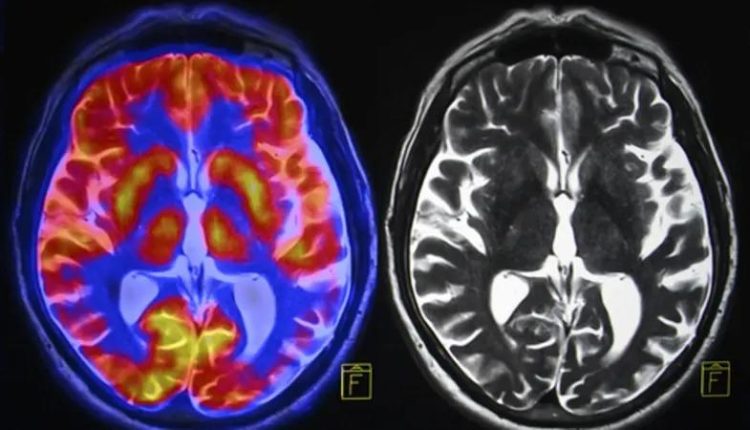
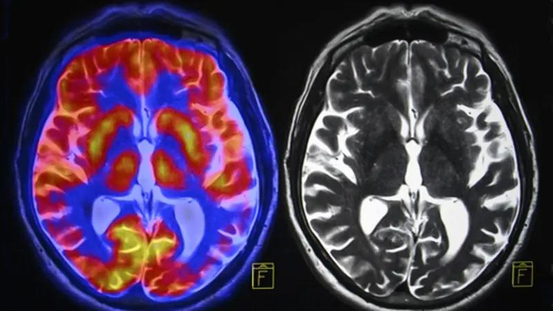
وقارن الباحثون فحوصات التصوير بالرنين المغناطيسي لـ 81 مراهقاً في الولايات المتحدة قبل الوباء، بين نوفمبر 2016 ونوفمبر 2019، مع 82 مراهقاً تم جمعهم بين أكتوبر 2020 ومارس 2022، أثناء الوباء ولكن بعد رفع الإغلاق، بحسب صحيفة “غارديان” البريطانية.
– تغيرات في الدماغ
وبعد مطابقة 64 مشاركاً في كل مجموعة لعوامل تشمل العمر والجنس، وجد الفريق أن التغيرات الجسدية في الدماغ التي حدثت خلال فترة المراهقة، مثل ترقق القشرة ونمو الحُصين واللوزة، كانت أكبر في فترة ما بعد الإغلاق، مقارنة بمجموعة ما قبل الجائحة، مما يشير إلى تسريع مثل هذه العمليات. بعبارة أخرى، تقدمت أدمغتهم بشكل أسرع.
بدوره، كتب الفريق في مجلة Biological Psychiatry: Global Open Science أن المشاركين وهم عينة من المراهقين في منطقة باي في كاليفورنيا، وافقوا في الأصل على المشاركة في دراسة تبحث في تأثير ضغوط الحياة المبكرة على الصحة العقلية عبر سن البلوغ. نتيجة لذلك، تم تقييم المشاركين أيضاً لمعرفة أعراض الاكتئاب والقلق.
– تأثير الوباء
فيما قال إيان جوتليب، أستاذ علم النفس بجامعة ستانفورد والمؤلف الأول للدراسة، إن النتائج تتوافق مع نتائج الباحثين الآخرين الذين يدرسون تأثير الوباء على الصحة العقلية للمراهقين.
وأضاف أن “التدهور في الصحة العقلية يترافق مع تغيرات جسدية في المخ لدى المراهقين، ويرجع ذلك على الأرجح إلى ضغوط الوباء”.
