الحسين للسرطان يجري عملية نوعية لاستئصال ورم عنقي
وكالة الناس -نجح فريق جراحي في مركز الحسين للسرطان بقيادة رئيس قسم جراحة العمود الفقري في المركز الدكتور محمد خليل البربراوي باستئصال ورم خبيث cervical sarcoma، بلغ حجمه نحو 10.7سم، تموضع أمام الفقرات العنقية الثالثة والرابعة والخامسة، ووصل إلى الثقبة الفقرية، وأثر على الشريان الفقري.
وكان المريض، وهو شاب يبلغ من العمر 31 عامًا، يعاني من صعوبة شديدة في التنفس والبلع، مما استدعى إجراء فتحة تنفسية في الحنجرة وتركيب أنبوب تغذية مباشرة إلى المعدة.
وقال مدير عام مركز الحسين للسرطان الدكتور عاصم منصور، في بيان اليوم الاثنين، إن هذا النجاح الجراحي المتقدّم يعكس المستوى العالمي الذي بلغه المركز في علاج الأورام المعقدة، ويُجسد التزامه بتقديم رعاية شاملة ترتكز على التخصصية والدقة.
وأضاف “نفتخر بهذا الإنجاز الذي تحقق بسواعد فريقنا الطبي المتميز، ونؤمن أن الاستثمار في الكفاءات والتقنيات الحديثة هو ما يجعلنا قادرين على التعامل مع أدق الحالات وأكثرها تعقيدًا، لنمنح الأمل والشفاء لمرضانا”.
من جهة أخرى، أوضح الدكتور البربراوي أن الفريق الطبي وضع خطة علاجية دقيقة متعددة المراحل، بدأت بإغلاق أحد الشريانين الفقريين من خلال إجراءات تداخلية بالأشعة، شملت اختبار إغلاق الشريان بواسطة البالون، تلاه إغلاق دائم باستخدام الملفات الحلزونية، بهدف تأمين المنطقة وتحضيرها للعملية الجراحية الكبرى.
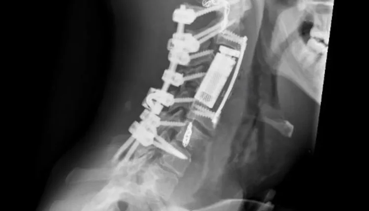
وفي المرحلة الجراحية، تم إجراء تثبيت خلفي للعمود الفقري من الفقرة العنقية الأولى وحتى السابعة، مع تحرير النخاع الشوكي وتأمين استقرار الفقرات، وبعد ذلك، أُجري استئصال كامل للورم والفقرات المصابة بطريقة “الاستئصال الكامل في كتلة واحدة” عبر المدخل الأمامي للعنق، تلاه تعويض الفقرات باستخدام قفص فقري تمددي، مع تثبيت أمامي لضمان الثبات الكامل للعمود الفقري.
وأكد البربراوي أن هذه العملية تُعد الأولى من نوعها في الأردن والمنطقة، ولا تُجرى إلا في المراكز المتقدمة على مستوى العالم، نظرًا لتشريح الورم المعقد، إذ شملت استئصال أكثر من فقرة عنقية إضافة إلى الشريان الفقري المصاب المجاور للورم.
وأشار إلى أن هذا الإنجاز هو مثال على العمليات الجراحية النادرة والمعقدة التي تتطلب خبرة عالية وتقنيات دقيقة، ويُجسد أهمية العمل الجماعي ضمن فريق طبي متعدد التخصصات، ويعكس مستوى التقدم الذي حققه الأردن في مجال جراحات أورام العمود الفقري المتقدمة.
وبعد مرور شهرين على الجراحة، استعاد المريض قدرته على التنفس الطبيعي بعد إزالة أنبوب التنفس، كما تم إزالة أنبوب التغذية وعاد إلى تناول الطعام بصورة طبيعية، ويتمتع اليوم بحالة صحية مستقرة.
